Nature | 武大宋保亮院士团队揭示MASH治疗新靶点GPNMB–RYK轴
代谢相关脂肪性肝炎(MASH)作为代谢相关脂肪性肝病(MASLD)的晚期阶段,以肝细胞气球样变、小叶性炎症和窦周纤维化为核心特征,若未得到有效干预,可进一步进展为肝硬化甚至肝癌。目前全球肥胖流行背景下,MASH患病率持续攀升,尽管THR-β激动剂和GLP-1受体激动剂已获批用于临床治疗,但有效且安全的治疗手段仍然匮乏,研发新的靶向治疗策略迫在眉睫。

·研究结果·
1. GPNMB在MASH进程中起关键作用
研究团队通过RNA测序发现,在多种饮食诱导的MASH小鼠模型及人类MASH患者肝脏中,GPNMB基因表达显著上调。系统性或肝细胞特异性敲除Gpnmb基因的小鼠模型均能显著改善AMLN和CDHFD饮食诱导的MASH,具体表现为肝脏脂肪变性、炎症和纤维化程度显著减轻,血清转氨酶水平降低,表明GPNMB在MASH进程中起关键作用。
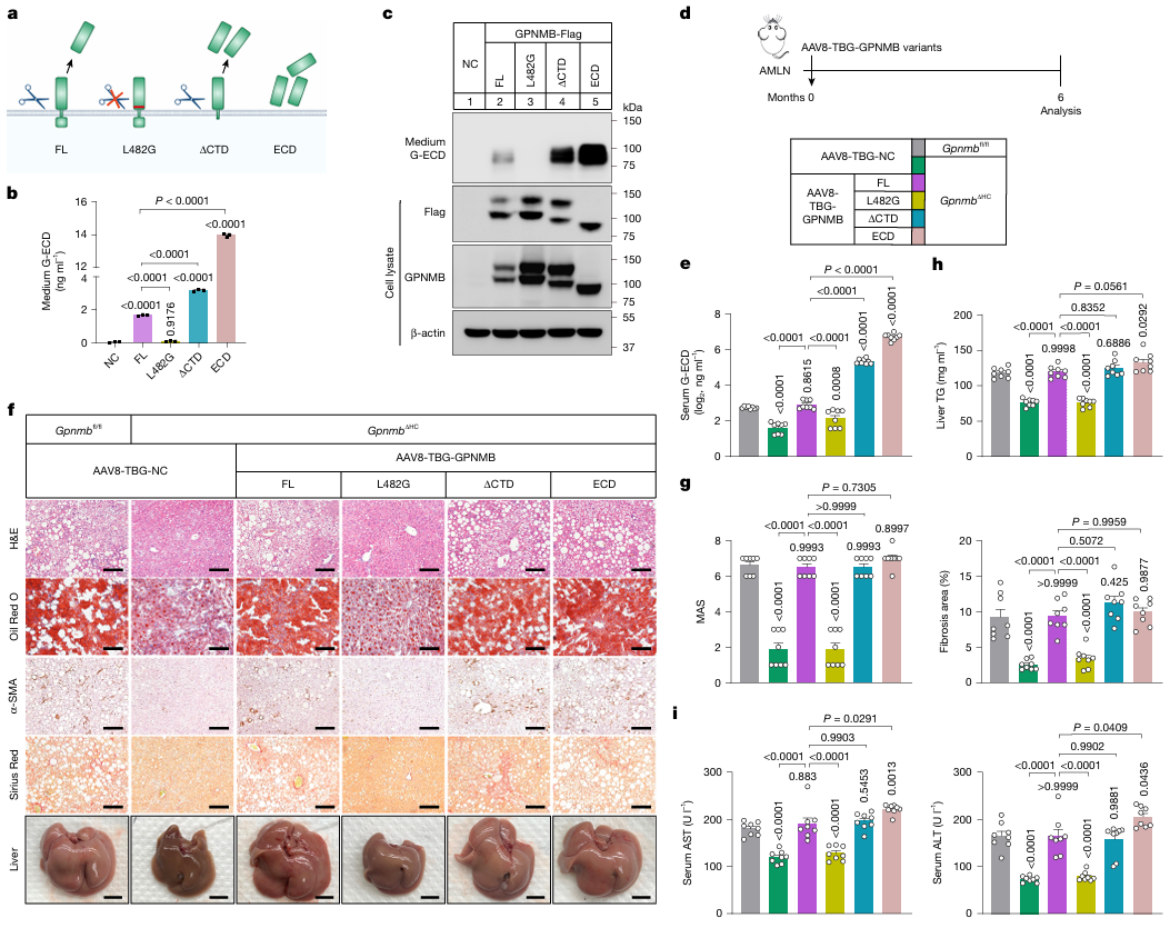
2. 分泌型G-ECD是MASH的关键驱动因素
GPNMB作为I型跨膜糖蛋白,经蛋白水解切割可释放G-ECD,研究发现L482G点突变可显著抑制G-ECD的分泌,成为抗脱落突变体。进一步在Gpnmb敲除小鼠中重构不同形式的GPNMB突变体,发现全长GPNMB、胞内域缺失体(ΔCTD)和G-ECD均可恢复血清G-ECD水平并逆转Gpnmb敲除对MASH的保护作用,而抗脱落的L482G突变体无此效应,且过表达G-ECD的小鼠MASH症状进一步加重。同时,人类MASH患者血清G-ECD水平显著升高并与疾病严重程度相关,证实分泌型G-ECD是GPNMB驱动MASH的关键功能形式。

图1 分泌型G-ECD是MASH的关键驱动因素
3. RYK是G-ECD的功能性受体
为寻找G-ECD发挥作用的膜受体,研究利用细胞表面展示文库进行筛选,结合肝脏表达验证和定位分析,锁定RYK、BST2和CD207三个候选分子,进一步实验发现仅RYK(受体酪氨酸激酶样孤儿受体)敲低可显著改善AMLN饮食诱导的MASH。免疫共沉淀实验证实了肝脏中GPNMB与RYK的内源性相互作用,且G-ECD主要结合RYK的胞外WIF结构域。肝细胞特异性敲低或敲除Ryk基因,可显著减轻MASH病变,并完全消除G-ECD的致病作用。

图2 RYK是MASH所需的一种GPNMB受体

图3 肝细胞RYK是G-ECD驱动MASH所必需的
4. G-ECD-RYK通过ERK1/2激活脂代谢通路
研究进一步解析GPNMB–RYK轴的下游分子机制。RNA测序和功能实验显示,Gpnmb或Ryk敲除均显著下调肝脏脂代谢通路相关基因,而G-ECD处理可显著诱导PPARγ、CD36及SREBP1C通路脂生成基因的表达。通过报告基因系统筛选发现,G-ECD与RYK结合可特异性激活血清反应元件(SRE),提示ERK1/2信号通路参与调控。AMLN饮食可激活野生型小鼠肝脏ERK1/2信号,而该效应在Gpnmb敲除小鼠中完全消失,且ERK1/2抑制剂(U0126)或siRNA敲低可显著抑制G-ECD诱导的脂代谢基因表达。此外,G-ECD处理可快速激活ERK1/2磷酸化,并上调SREBP1、ACC、FASN和PPARγ的蛋白表达,而RYK敲低可阻断这一过程。研究证实GPNMB–RYK轴通过激活ERK1/2信号,转录激活PPARγ-CD36和SREBP1C通路,促进肝脏脂肪酸摄取和从头脂生成,最终驱动MASH发生。

图4 G-ECD-RYK通过ERK1/2信号激活PPARG-CD36和SREBP1C-脂质生成基因
5. 靶向GPNMB-RYK轴可预防和治疗MASH
基于上述机制发现,研究团队探索了靶向GPNMB–RYK轴防治MASH的多种策略,均取得了显著效果。在预防层面,利用G-ECD疫苗可诱导小鼠产生高滴度抗体,有效清除血清G-ECD,显著抑制AMLN饮食诱导的MASH发生,同时改善小鼠全身代谢异常。在治疗层面,针对已建立的MASH模型,利用AAV8-shGpnmb敲低、G-ECD中和抗体以及肝细胞靶向的GalNAc-siGpnmb均能显著降低肝脏GPNMB表达和血清G-ECD水平,逆转肝脏脂肪变性、炎症和纤维化,改善代谢紊乱,其中GalNAc-siGpnmb作为临床已验证的靶向递送技术,展现出良好的转化前景。以上干预手段均在不显著影响体重和食欲的前提下,改善了肝脏病理和全身代谢状态。

图5 靶向GPNMB-RYK轴可以预防和治疗MASH
·研究小结·
该研究系统阐明了GPNMB–RYK-ERK1/2-PPARγ/SREBP1C轴在MASH发病中的核心作用,首次将RYK鉴定为G-ECD的功能性受体,同时证实血清G-ECD可作为MASH的非侵入性诊断生物标志物。多种靶向该轴的干预策略在临床前模型中展现出高效的防治效果,为MASH的精准治疗提供了全新的靶点和候选方案,尤其是肝细胞特异性靶向策略兼具有效性和安全性,有望成为现有治疗手段的重要补充,具有极高的临床转化价值。
原文链接:https://www.nature.com/articles/s41586-026-10160-z

更多活动详情可长按或扫描上方二维码,填写表单,我们将尽快安排专人与您联系!
和元生物
和元生物成立于2013年,作为深耕细胞和基因治疗核心领域的高新技术企业,专注于为细胞和基因治疗的基础研究提供基因治疗载体研制、基因功能研究、药物靶点及药效研究等CRO服务,可提供①组学服务:常规转录组、单细胞转录组、基因组、代谢组及蛋白组等。②载体构建和病毒包装:质粒、siRNA、腺相关病毒(AAV)、腺病毒(ADV)、慢病毒(LVV)、逆转录病毒(RV)、单纯疱疹病毒(HSV)等病毒载体生产服务,提供R&D、实验室级别、GMP级别满足研发、小动物、大动物NHP到临床的不同研究阶段的使用需求。③细胞实验服务:过表达、干扰稳定株构建,单克隆细胞株构建服务及细胞功能学、药效学实验服务。④动物实验及机制研究:神经、代谢、肿瘤动物模型、药效药代、病理切片及蛋白、核酸检测服务。⑤特色项目服务:CRISPR文库筛选服务,外泌体整体研究服务,AAV衣壳筛选服务、听力研究整体项目服务,满足客户定制化或一站式项目服务,助力基础科学研究,促进基础研究到临床转化应用,推动细胞和基因治疗行业发展。

扫一扫,反馈当前页面
和元生物